
Fibrosis Paru, Penyakit Paru Kronis Yang Perlu Di Waspadai
Fibrosis Paru Merupakan Salah Satu Penyakit Paru-Paru Kronis Yang Di Tandai Dengan Terbentuknya Jaringan Parut Pada Paru-Paru. Kondisi ini menyebabkan jaringan paru menjadi kaku dan menebal, sehingga kemampuan paru-paru untuk menyerap oksigen ke dalam aliran darah menurun. Akibatnya, penderita Fibrosis Paru sering mengalami sesak napas dan penurunan kualitas hidup secara bertahap.
Penyakit ini termasuk dalam kelompok penyakit paru interstisial, yaitu gangguan yang menyerang jaringan dan ruang di sekitar kantung udara paru-paru. Fibrosis Paru dapat berkembang secara perlahan dalam hitungan bulan hingga tahun, namun pada beberapa kasus bisa memburuk lebih cepat. Karena gejalanya sering muncul secara perlahan, banyak penderita baru menyadari penyakit ini ketika sudah berada pada tahap lanjut.
Penyebab Fibrosis Paru
Fibrosis paru dapat di sebabkan oleh berbagai faktor. Paparan zat berbahaya dalam jangka panjang, seperti debu silika, asbes, asap rokok, polusi udara, serta bahan kimia industri, di ketahui meningkatkan risiko terjadinya penyakit ini. Selain itu, infeksi paru-paru berat, terapi radiasi di area dada, serta penggunaan obat-obatan tertentu juga dapat memicu kerusakan jaringan paru.
Pada sebagian kasus, penyebab pasti penyakit ini tidak dapat di ketahui. Kondisi ini di kenal sebagai fibrosis paru idiopatik. Faktor usia, jenis kelamin, dan riwayat merokok di duga berperan dalam meningkatkan risiko terjadinya fibrosis paru idiopatik, meskipun mekanismenya belum sepenuhnya di pahami.
Gejala yang Perlu Di Waspadai
Gejala penyakit ini biasanya berkembang secara bertahap, Gejala awal yang paling umum adalah sesak napas. Terutama saat melakukan aktivitas fisik, serta batuk kering yang berlangsung lama. Seiring waktu, penderita dapat mengalami kelelahan berlebihan, penurunan berat badan tanpa sebab jelas, nyeri otot dan sendi, serta ujung jari tangan yang membulat atau membesar, kondisi yang dikenal sebagai clubbing finger.
Karena gejalanya mirip dengan penyakit paru lain seperti asma atau penyakit paru obstruktif kronis (PPOK), fibrosis paru sering kali terlambat terdiagnosis. Oleh sebab itu, pemeriksaan medis lanjutan sangat penting apabila gejala pernapasan tidak membaik dalam waktu lama.
Diagnosis dan Pemeriksaan
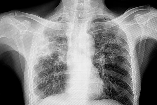
Untuk menegakkan diagnosis fibrosis paru, dokter biasanya akan melakukan serangkaian pemeriksaan. Pemeriksaan ini meliputi tes fungsi paru untuk menilai kapasitas pernapasan, foto rontgen dada, serta CT scan resolusi tinggi untuk melihat tingkat kerusakan jaringan paru. Dalam beberapa kasus, dokter juga dapat melakukan biopsi paru untuk memastikan diagnosis.
Riwayat pekerjaan, kebiasaan merokok, serta paparan lingkungan juga menjadi bagian penting dalam proses diagnosis. Semakin cepat kondisi ini terdeteksi, semakin besar peluang untuk memperlambat progresivitas penyakit.
Pengobatan dan Penanganan
Hingga saat ini, kondisi ini belum dapat di sembuhkan sepenuhnya. Pengobatan di fokuskan untuk memperlambat perkembangan penyakit, mengurangi gejala, serta meningkatkan kualitas hidup pasien. Dokter dapat meresepkan obat antifibrotik, terapi oksigen, serta program rehabilitasi paru untuk membantu penderita bernapas lebih efisien.
Pada kasus tertentu dengan kondisi yang sangat berat, transplantasi paru dapat menjadi pilihan terakhir. Selain itu, perubahan gaya hidup seperti berhenti merokok, menghindari paparan polusi, menjaga aktivitas fisik ringan, dan menerapkan pola makan sehat sangat di anjurkan.
Pencegahan dan Kesadaran Dini
Meskipun tidak semua kasus kondisi ini dapat di cegah, mengurangi faktor risiko sangat penting. Menggunakan alat pelindung diri di lingkungan kerja berisiko, menjaga kualitas udara, serta melakukan pemeriksaan kesehatan rutin dapat membantu mendeteksi gangguan paru lebih dini.
Kesadaran masyarakat terhadap Fibrosis Paru perlu terus di tingkatkan. Dengan deteksi dan penanganan yang tepat, penderita kondisi ini memiliki peluang lebih baik untuk mempertahankan kualitas hidup dan mengelola penyakit ini secara optimal.